Rare, 100% Fatal Brain Disease Strikes 3 in Same County

Officials say 2 have died from Creutzfeldt-Jakob disease in Hood River County, Oregon
Posted Apr 17, 2025 7:01 AM CDT
Rare, 100% Fatal Brain Disease Strikes 3 in Same County
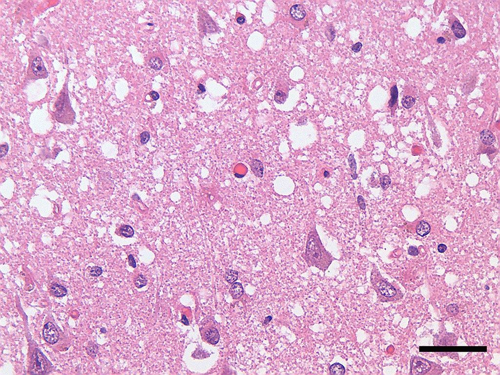
A brain affected by Creutzfeldt-Jakob disease shows a "swiss cheese" or spongy appearance caused by damage from abnormal, misfolded proteins called prions.   (Wikimedia Commons/Tulemo)

Three people in a county in Oregon are believed to have acquired Creutzfeldt-Jakob disease, a rare brain disease with a 100% fatality rate, two of whom have since died. Symptoms are similar to those of Alzheimer's disease but CJD progresses faster, with death usually occurring within a year. The disease can only be confirmed after death by examining brain tissue and the fluid surrounding the brain and spinal cord, a process that can take months, per the Oregonian. Health officials in Oregon's Hood River County say one case was confirmed by autopsy, while the two others are presumptive.

CJD impacts just 1 to 2 people per million each year, so it's "statistically unusual" to see three cases in a county of 24,000, per Live Science. "At this time, there is no identifiable link between these three cases," health officials say. They add CJD can only be spread from person to person through organ or tissue transplants or unusual exposure to contaminated tissue. There are several types of CJD, which is caused by prions, or abnormally folded proteins, that damage brain tissue.

About 85% of cases are sporadic, with normal proteins spontaneously morphing into prions for unknown reasons, according to the CDC. In most other cases, CJD is traced to inherited mutations of the PRNP gene, which provides instructions for making the prion protein. Less than 1% of cases are acquired, with prions entering the body from external sources, such as in eating beef from cows infected with mad cow disease. Officials in Hood River say infected cattle are unlikely to be the cause, per the Oregonian. The department is investigating alongside the Oregon Health Authority and CDC.

Read These Next
Get the news faster.
Tap to install our app.
X
Install the Newser News app
in two easy steps:
1. Tap in your navigation bar.
2. Tap to Add to Home Screen.

X